CT Enterography in Pallavaram

CT Enterography

Living with unexplained digestive symptoms can be both physically uncomfortable and emotionally draining. Frequent abdominal pain, chronic diarrhea, bloating, weight loss, or even sudden anemia can interfere with your daily life, leaving you frustrated and searching for answers. Many patients go through multiple tests before finding a reliable explanation for their symptoms. That’s why at Insight Diagnostics and Labs, we’ve made it our mission to bring you advanced diagnostic services like CT Enterography in Pallavaram, designed specifically to give you and your doctor the clarity you deserve.

Unlike routine CT scans, CT Enterography focuses closely on the small intestine — a section of the digestive tract that is notoriously difficult to assess through standard imaging. By combining a powerful CT scanner with a special oral contrast solution, this test produces highly detailed images that reveal inflammation, bleeding, tumors, strictures, or other abnormalities that may be causing your symptoms.

We know undergoing a medical test can be stressful. That’s why our scan centre in Pallavaram is designed with patient comfort in mind. From the moment you schedule your appointment until the time you receive your detailed report, our team is here to guide you with compassion, professionalism, and clear communication.

What is CT Enterography?

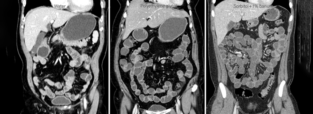
CT Enterography is a diagnostic test that uses advanced CT technology and a special oral contrast solution to produce detailed images of the small intestine and surrounding abdominal structures. Unlike traditional CT scans, which provide a general view, CT Enterography is tailored to highlight the intestinal walls and blood vessels, giving doctors a much clearer picture.

The oral contrast works by filling and outlining the small bowel, which allows the scanner to capture high‑resolution cross‑sectional and 3D images. This makes it possible to detect even subtle changes such as early inflammation, hidden bleeding, strictures, or abnormal growths. In some cases, an intravenous (IV) contrast dye may also be used to provide additional details about the blood vessels and surrounding tissues.

This scan is especially useful for patients with chronic intestinal problems, including Crohn’s disease, small bowel tumors, celiac disease, and unexplained abdominal pain or bleeding. Since it is non‑invasive, quick, and highly accurate, CT Enterography has become the preferred diagnostic tool for many gastroenterologists and physicians.

  • Specially designed to evaluate the small intestine in detail
  • Detects Crohn’s disease, tumors, strictures, and bleeding
  • Combines oral and intravenous contrast for precision imaging
  • Provides cross‑sectional and 3D images for accurate evaluation
  • Non‑invasive and less stressful than endoscopic procedures

Why is CT Enterography Needed?

Digestive problems are among the most common medical concerns, yet they are often the hardest to diagnose because symptoms overlap across multiple conditions. Patients may experience pain, diarrhea, weight loss, or fatigue for years before receiving a clear diagnosis. This is where CT Enterography at our Pallavaram scan centre makes a difference.

Without advanced imaging like CT Enterography, many patients would face longer delays, repeated tests, or even unnecessary invasive procedures. By offering this service locally, we ensure that residents of Pallavaram and nearby areas don’t have to travel far for world‑class diagnostic care.

Doctors recommend this scan for patients suspected of having:

  • Crohn’s disease: CT Enterography can detect inflammation, ulcers, fistulas, and strictures, helping doctors determine the severity and extent of the disease.
  • Unexplained gastrointestinal bleeding: If standard scopes fail to find the source, CT Enterography can locate hidden bleeding points in the small intestine.
  • Small bowel tumors: It helps detect benign and malignant growths that are otherwise difficult to identify.
  • Chronic diarrhea or abdominal pain: By providing detailed visuals, doctors can rule out or confirm specific conditions.
  • Monitoring of ongoing conditions: It’s ideal for tracking disease progression and evaluating how well treatments are working.
  • Recommended for patients with persistent or unexplained symptoms
  • Crucial for diagnosing and managing Crohn’s disease
  • Detects bleeding sources invisible on endoscopy
  • Identifies both benign and malignant small bowel tumors
  • Helps doctors plan treatment quickly and effectively

How to Prepare for CT Enterography

Generally, patients are asked to fast for 4–6 hours before the scan. This ensures your intestines are empty, which improves the accuracy of the images. Upon arrival, our staff will provide you with a special oral contrast solution. You will drink this in stages before the scan begins. The liquid gently expands your small bowel, allowing the CT scanner to capture crisp and detailed visuals.

It’s important to inform our team about your medical history, including allergies, ongoing medications, or kidney problems. This helps us determine if intravenous contrast should be used. In cases where IV dye is necessary, a small IV line will be inserted before the scan. After the procedure, we advise drinking extra water to help flush the contrast from your system.

Our team will explain each step thoroughly so you feel confident and comfortable. If you have concerns about fasting, contrast safety, or the procedure itself, we’re always here to answer them.

  • Fasting for 4–6 hours before the scan is required
  • Oral contrast drink provided for clearer imaging
  • Medical history reviewed for safety and suitability
  • Intravenous dye may be added for additional clarity
  • Post‑test hydration encouraged for faster recovery

What to Expect During the Scan

At our scan centre in Pallavaram, we focus on making your CT Enterography experience smooth and stress‑free. After you’ve had the oral contrast, you’ll be guided to the scanning room, where our friendly technicians will explain each step.

You’ll be asked to lie down on the CT scanner table, which will slowly move through the scanner. If IV contrast is used, it will be administered through a small vein in your arm. Some patients may experience a temporary warm sensation from the dye, but this passes quickly. During the scan, you may be asked to hold your breath for a few seconds to minimize motion and ensure clear images.

The scan itself typically takes 20–30 minutes, though the overall process, including preparation, may take up to an hour. It is completely painless and requires no recovery time. Once the images are captured, you can resume your regular activities, though we recommend staying hydrated for the rest of the day.

  • Guidance on fasting and fluid intake if required
  • Review of medical history and allergies
  • Medication advice tailored to individual needs
  • Simple instructions to ensure best‑quality imaging
  • Personalized support from our expert staff

What to Expect During the Scan

Many patients feel anxious before a CT angiogram, but the process is usually quick and comfortable. At our CT Scan Centre in Pallavaram, the scan typically takes about 20–30 minutes. You’ll be asked to lie still while the contrast dye is administered, after which the CT scanner captures detailed images.

Throughout the scan, our caring staff remain close by to ensure your comfort and safety. Most patients report only mild sensations, such as a warm feeling from the contrast dye, which quickly subsides. We focus on making the experience as stress‑free as possible.

  • Total time, including prep, is about 45–60 minutes
  • Non‑invasive, comfortable, and painless procedure
  • Oral and IV contrasts enhance imaging detail
  • No downtime — you can return to normal activities
  • Staff available throughout to ensure comfort and reassurance

After the Scan: Reports and Follow‑Up

One of the most important aspects of diagnostic care is receiving results quickly and accurately. At Insight Diagnostics and Labs, we recognize that patients and doctors need timely answers to make informed decisions. That’s why our CT Enterography reports are usually ready within 1 to 2 hours.

Our experienced radiologists carefully analyze the images, looking for inflammation, ulcers, strictures, bleeding points, or tumors. Each report is crafted with precision and clarity so your doctor can interpret it easily. Reports are available in both digital and hard copy formats, ensuring convenience for you and your physician.

If you have questions about the findings, our supportive team is always available to explain the results in simple language, giving you the confidence and understanding you need before meeting your doctor.

  • Reports usually delivered within 1 to 2 hours
  • Detailed interpretations by expert radiologists
  • Easy access to both printed and digital copies
  • Patient support for understanding and next steps

Why Choose Insight Diagnostics for CT Enterography in Pallavaram

When you’re choosing a diagnostic centre, you’re placing your trust in the accuracy of their technology and the expertise of their staff. At Insight Diagnostics and Labs, we are committed to honoring that trust. Our CT Enterography in Pallavaram combines advanced CT technology, highly trained radiologists, and a patient‑first approach to give you the highest standard of care.

We know you may be anxious about your health or the procedure itself. That’s why we’ve built our services around making your experience as comfortable and reassuring as possible. From flexible appointment slots to minimal waiting times and fast report delivery, every step is designed with your needs in mind. Our goal is not just to provide a scan, but to provide peace of mind and a clear pathway toward better health.

  • Advanced CT imaging with high‑resolution clarity
  • Skilled radiologists with gastrointestinal expertise
  • Comfortable, patient‑focused diagnostic environment
  • Quick turnaround time for fast medical decisions
  • Convenient Pallavaram location with easy accessibility

Supporting Your Digestive Health Journey

Digestive issues can impact not only your physical health but also your mental well‑being and quality of life. At Insight Diagnostics in Pallavaram, we see ourselves as more than a scan centre — we are your partners in health. By offering advanced CT Enterography services, we empower you with accurate answers so you and your doctor can make informed choices about treatment and care.

We believe healthcare should be a supportive and reassuring experience. From the moment you book your appointment, our team works to minimize stress and maximize comfort. With our combination of advanced technology, skilled professionals, and compassionate service, we help you take control of your digestive health and move forward with confidence.

📞 Book your CT Enterography in Pallavaram today and take the first step toward clarity, comfort, and better digestive health.

Frequently asked questions

CT Enterography is especially useful for diagnosing Crohn’s disease, small bowel tumors, strictures, ulcers, and sources of hidden gastrointestinal bleeding. It provides clear images of the small intestine that are not possible with standard CT scans or endoscopy.

Yes. The procedure is considered safe and well‑tolerated. While it involves the use of oral contrast and sometimes IV contrast, our team thoroughly reviews your health history and takes all precautions to minimize risks. Most patients complete the test without side effects.

The entire process, including preparation and scanning, usually takes 45–60 minutes. The scan itself is relatively quick, lasting only about 20–30 minutes. You can return to your regular activities immediately after.

Yes, fasting for 4–6 hours before the scan is required to ensure your intestines are clear for accurate imaging. Our staff will provide simple preparation instructions so you know exactly what to do.

Most patients receive their CT Enterography reports in Pallavaram within 1 to 2 hours. So your doctor can begin treatment without delay.
Insights Diagnostics and Labs Contact Number Insights Diagnostics and Labs WhatsApp