Growth Scan Centre in Pallavaram

Accurate Growth Monitoring for a Healthy Pregnancy

At Insight Diagnostics and Labs, we understand how important it is for expectant mothers to track their baby’s development during pregnancy. A growth scan, also known as a fetal growth scan, is a specialised ultrasound that measures the baby’s size, checks organ development, assesses amniotic fluid levels, and monitors overall well-being. By visiting our growth scan centre in Pallavaram, you gain access to advanced imaging equipment, skilled radiologists, and a warm, supportive environment designed to make your experience comfortable and reassuring.

Our team follows internationally approved protocols to ensure that every detail is captured accurately. The scan not only helps track your baby’s growth but also allows for early detection of potential complications, giving your doctor the necessary information to plan the safest delivery. Whether it’s your first pregnancy or your third, we are here to provide expert care and clear, easy-to-understand results.

Why Choose Insight Diagnostics for Your Growth Scan in Pallavaram?

Choosing the right centre for a pregnancy scan is crucial. At Insight Diagnostics, we combine high-resolution ultrasound technology with the expertise of certified radiologists to provide reliable and precise results. Our radiologists are trained to detect even the smallest changes in fetal growth patterns, ensuring you receive the most accurate information possible.

Our centre in Pallavaram is equipped with modern ultrasound machines capable of detailed fetal imaging, which makes interpreting the baby’s size, weight, and growth progress highly reliable. We maintain strict hygiene protocols, prioritise patient comfort, and ensure minimal waiting time. Your safety and peace of mind are our top priorities.

  • Expert radiologists – Experienced professionals specialising in prenatal imaging.
  • Advanced Ultrasound Equipment – Clear and detailed fetal images.
  • Comfort-Focused Environment – Friendly staff and calm scanning rooms.
  • Quick Report Delivery – Receive your results promptly for timely medical review.

What Happens During a Growth Scan?

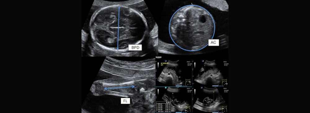
During a growth scan, our radiologists applies a warm, safe ultrasound gel to your abdomen and uses a probe to capture images of the baby. The scan typically lasts 20–30 minutes and is completely non-invasive. Our team checks the baby’s head, abdomen, and femur measurements to estimate weight and growth rate. The scan also evaluates amniotic fluid, placental position, and umbilical cord blood flow.

We ensure that every mother feels informed throughout the process. Our experts explain what they are checking at each stage, and you may even get to see your baby’s movements on the screen. For many parents, this scan is an exciting bonding moment, as they can watch their baby’s heartbeat, stretches, or tiny kicks in real time.

  • Measurement of fetal size and weight.
  • Amniotic fluid level assessment.
  • Placental position evaluation.
  • Blood flow monitoring through Doppler imaging.

Why Choose Insight Diagnostics for Your Growth Scan in Pallavaram?

Choosing the right centre for a pregnancy scan is crucial. At Insight Diagnostics, we combine high-resolution ultrasound technology with the expertise of certified radiologists to provide reliable and precise results. Our radiologists are trained to detect even the smallest changes in fetal growth patterns, ensuring you receive the most accurate information possible.

Our centre in Pallavaram is equipped with modern ultrasound machines capable of detailed fetal imaging, which makes interpreting the baby’s size, weight, and growth progress highly reliable. We maintain strict hygiene protocols, prioritise patient comfort, and ensure minimal waiting time. Your safety and peace of mind are our top priorities.

  • Expert radiologists – Experienced professionals specialising in prenatal imaging.
  • Advanced Ultrasound Equipment – Clear and detailed fetal images.
  • Comfort-Focused Environment – Friendly staff and calm scanning rooms.
  • Quick Report Delivery – Receive your results promptly for timely medical review.

What Happens During a Growth Scan?

During a growth scan, our radiologists applies a warm, safe ultrasound gel to your abdomen and uses a probe to capture images of the baby. The scan typically lasts 20–30 minutes and is completely non-invasive. Our team checks the baby’s head, abdomen, and femur measurements to estimate weight and growth rate. The scan also evaluates amniotic fluid, placental position, and umbilical cord blood flow.

We ensure that every mother feels informed throughout the process. Our experts explain what they are checking at each stage, and you may even get to see your baby’s movements on the screen. For many parents, this scan is an exciting bonding moment, as they can watch their baby’s heartbeat, stretches, or tiny kicks in real time.

  • Measurement of fetal size and weight.
  • Amniotic fluid level assessment.
  • Placental position evaluation.
  • Blood flow monitoring through Doppler imaging.

When is a Growth Scan Recommended?

A growth scan is usually recommended in the third trimester, around 28–38 weeks, but may be done earlier or later depending on your doctor’s advice. If you have certain medical conditions, such as high blood pressure, gestational diabetes, or a history of pregnancy complications, your doctor might recommend multiple growth scans.

It is also useful if your doctor suspects the baby might be smaller or larger than expected for the gestational age. Regular monitoring ensures that any potential issues are addressed promptly, supporting a safe pregnancy outcome.

  • You have high-risk pregnancy factors.
  • There are concerns about fetal growth restriction or macrosomia.
  • You have gestational diabetes or hypertension.
  • You have had complications in a previous pregnancy.

How a Growth Scan Supports a Healthy Delivery

A growth scan doesn’t just measure the baby’s size—it provides vital insights for planning a safe birth. By evaluating fetal well-being, doctors can decide whether early delivery, induction, or a C-section might be necessary. The information gained can also help detect breech positioning or umbilical cord concerns.

For mothers, this means less uncertainty and more control over delivery planning. For doctors, it means they have accurate, up-to-date information to make decisions in the best interest of both mother and baby.

  • Early detection of growth issues.
  • Helps choose safest delivery method.
  • Identifies abnormal positions before labour.
  • Reduces risks during childbirth.

Patient-First Approach at Insight Diagnostics

We believe that pregnancy care should be more than just medical accuracy—it should also be about empathy, reassurance, and emotional support. Our staff at the growth scan centre in Pallavaram are trained to provide clear explanations, answer your questions patiently, and make the process stress-free.

From the moment you arrive until you leave with your results, our team ensures your comfort is prioritised. This caring approach is why many expectant mothers in Pallavaram and nearby areas choose us for their pregnancy scans.

  • Clear and easy-to-understand reports.
  • Comfortable scanning environment.
  • Experienced team who care about your journey.
  • Fast scheduling and minimal waiting times.

Our Technology for Accurate Growth Scans

We use advanced high-frequency ultrasound transducers that provide precise imaging, even in late pregnancy when the baby’s position can make scanning challenging. Our systems also feature Doppler imaging capabilities, which allow for detailed assessment of blood flow between the placenta and the baby—an essential factor in growth monitoring.

By combining technology with expertise, we provide reports your doctor can trust for accurate clinical decisions.

  • High-resolution fetal imaging.
  • Doppler studies for placental health.
  • Clear visualisation even in late pregnancy.
  • Reliable measurement data for doctors.

Why Mothers in Pallavaram Trust Us

We have built our reputation as one of the most reliable growth scan centres in Pallavaram by consistently delivering accurate results and personalised care. Mothers appreciate the transparency, the warm atmosphere, and the confidence they feel after their scan.

For us, every pregnancy is unique, and we treat each case with the attention it deserves.

  • Consistent accuracy in reports.
  • Compassionate and respectful service.
  • Flexible appointment scheduling.
  • Trusted by local doctors and patients alike.

Your Partner in a Healthy Pregnancy Journey

At Insight Diagnostics and Labs, we consider it an honour to be part of your pregnancy journey. Our role is not just to provide a scan—it’s to give you clarity, peace of mind, and confidence in your baby’s health. Whether it’s your first growth scan or a follow-up, you can rely on us for precision, care, and guidance at every step.

A healthy pregnancy is built on informed decisions, and our growth scan services are designed to provide exactly that. Visit our growth scan centre in Pallavaram and experience the perfect combination of advanced medical technology and compassionate care.

Frequently asked questions

A growth scan is an ultrasound test done in the later stages of pregnancy to measure your baby’s size, weight, and overall development. At Insight Scan Centre in Pallavaram, we use advanced imaging to assess fetal health and growth patterns, ensuring you get clear and accurate information about your baby’s progress.

A growth scan is typically performed between the 28th and 40th week of pregnancy, depending on your doctor’s recommendation. At Insight Scan Centre, our specialists ensure that the timing of your scan is optimized to provide the most useful data for your healthcare provider.

On average, a growth scan takes about 20 to 30 minutes. At Insight Scan Centre in Pallavaram, we focus on making the process comfortable while capturing high-quality images and measurements for accurate reporting.

Yes, a growth scan is a completely safe and non-invasive procedure. At Insight Scan Centre, we follow strict safety protocols and use state-of-the-art ultrasound technology to ensure the well-being of both mother and baby during the scan.

Yes, a growth scan can help detect potential issues such as restricted growth, low amniotic fluid levels, or abnormal positioning. At Insight Scan Centre in Pallavaram, our experienced radiologists work closely with your doctor to provide detailed reports for prompt medical guidance if needed.
Insights Diagnostics and Labs Contact Number Insights Diagnostics and Labs WhatsApp