Renal Doppler Test in Pallavaram

Renal Doppler

A Renal Doppler Test is a highly specialized ultrasound scan that evaluates the blood flow to and from your kidneys. At our Insight Diagnostics and Labs Pallavaram, in Pallavaram, we offer this non-invasive test using advanced Doppler sonography to help detect and monitor kidney conditions, hypertension, and renal artery blockages with precision. This test plays a critical role in understanding the vascular health of your kidneys and helps doctors plan the right course of treatment for long-term kidney care.

Whether you’re dealing with high blood pressure, unexplained kidney dysfunction, or vascular disease, a Renal Doppler Test can provide key insights. Our certified radiologists and diagnostic team ensure the scan is performed with utmost care and clarity. With state-of-the-art imaging and prompt reporting, our Pallavaram facility ensures accurate results and compassionate service from start to finish.

What is a Renal Doppler Test and Why Is It Important?

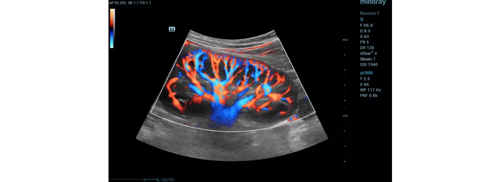
The Renal Doppler Test is a type of ultrasound scan that uses sound waves to examine how blood flows in the arteries and veins of your kidneys. Unlike regular ultrasound, this Doppler variation can assess both the speed and direction of blood flow, helping doctors detect abnormalities like blockages or narrowing in renal arteries. It’s completely safe, radiation-free, and suitable for people of all age groups.

This test is particularly useful in diagnosing renovascular hypertension—a type of high blood pressure caused by narrowed kidney arteries. It also helps in assessing renal transplants, monitoring chronic kidney disease, and identifying clot formations. Early detection through this test can prevent further kidney damage and reduce cardiovascular risks significantly.

  • Non-invasive and radiation-free kidney blood flow evaluation
  • Detects renal artery narrowing or blockages
  • Helps diagnose renovascular hypertension
  • Essential in transplant follow-up and kidney function assessment
  • Useful for patients with uncontrolled hypertension
  • Offers real-time insights into kidney vascular health

Common Symptoms That Call for a Renal Doppler Test

A Renal Doppler Test is often recommended when a patient experiences symptoms that hint at compromised blood flow to the kidneys. These symptoms are frequently linked to underlying vascular conditions or high blood pressure that’s not responding well to medication. If you have recurring kidney issues, your physician may recommend this scan as part of your diagnostic process.

Some common symptoms include flank pain, abnormal kidney function reports, swelling in the legs, or uncontrolled high blood pressure. The test is also performed to follow up after kidney transplantation or when signs of renovascular hypertension are suspected. It’s a proactive step toward protecting your kidneys and maintaining healthy circulation.

  • Persistent or resistant high blood pressure
  • Flank pain or lower back pain near the kidneys
  • Abnormal blood or urine tests related to kidney function
  • Sudden onset of kidney dysfunction
  • Monitoring kidney transplant patients
  • History of vascular disease or clotting disorders

When Do You Need a Renal Doppler Test?

Not every kidney issue requires a Renal Doppler Test, but certain clinical indicators make it essential. If your physician suspects that your kidney-related problems are vascular in origin, or if your hypertension doesn’t improve with medication, this test becomes crucial. It’s also part of routine screening for patients at high risk for vascular disease.

Doctors may also advise this test before or after kidney transplantation to ensure optimal blood supply to the organ. If imaging or lab tests show signs of impaired renal function or swelling, a Doppler ultrasound helps to confirm whether vascular blockage or narrowing is a cause.

  • Unexplained decline in kidney function
  • Pre-transplant or post-transplant kidney monitoring
  • Recurrent or persistent high blood pressure
  • Signs of renal artery stenosis
  • Suspected blood clots in renal veins
  • Screening in high-risk diabetic or hypertensive patients

How We Perform the Renal Doppler Test in Pallavaram

At our diagnostic centre in Pallavaram, we conduct Renal Doppler Tests in a professional, patient-friendly environment. The procedure is typically done with the patient lying down, and a clear gel is applied to the abdomen or back. A Doppler ultrasound probe is then used to capture real-time images and blood flow data from the renal arteries and veins.

Our expert sonographers ensure the test is both thorough and comfortable. The entire process takes about 30 to 45 minutes, and patients can resume their daily routine right after. Our advanced equipment ensures optimal imaging, while our radiologists provide quick and accurate interpretation for your physician’s reference.

  • No fasting required in most cases
  • Painless and safe procedure
  • Duration: typically 30 to 45 minutes
  • Performed by certified ultrasound technologists
  • Detailed color Doppler images for accuracy
  • Results typically available within 1 hours

Benefits of Choosing Our Centre for Renal Doppler Test

We are known in Pallavaram for providing comprehensive diagnostic services with a focus on patient comfort and diagnostic accuracy. Our Renal Doppler Test service is trusted by physicians and specialists across Chennai because of our reliable reporting and excellent imaging quality. We prioritize your time and health at every step.

Our diagnostic centre is equipped with advanced Doppler sonography machines and staffed by skilled professionals who ensure a smooth experience from appointment to report delivery. We take pride in offering high-quality diagnostics at reasonable prices.

  • High-resolution Doppler imaging systems
  • Timely appointments and minimal wait time
  • Trusted by local physicians and nephrologists
  • Comfortable testing rooms and experienced staff
  • Affordable pricing with transparent billing
  • Prompt reporting to assist timely treatment decisions

Preparing for a Renal Doppler Test in Pallavaram

Getting ready for a Renal Doppler Test is simple but essential to ensure accurate and reliable imaging. If you’ve been advised to undergo this test, your diagnostic center or healthcare provider in Pallavaram will give you instructions based on your health condition. Typically, fasting for 6–8 hours before the test is required, as it helps reduce bowel gas that can interfere with the sound waves. It’s also advised to stay well-hydrated, as a full bladder may help improve imaging for some associated organs.

At our diagnostic center in Pallavaram, we make the preparation process smooth and comfortable for all patients. Our experienced technicians will brief you on what to expect, how to position yourself during the scan, and answer any concerns you may have. Proper preparation ensures that the Renal Doppler Test delivers a clear assessment of your kidney blood flow, enabling early detection of any vascular abnormalities or obstructions.

  • 6–8 hours of fasting may be required for accurate imaging
  • Stay hydrated as per instructions; some cases need a full bladder
  • Wear comfortable clothing for easy abdominal access
  • Bring previous scan reports or prescriptions for comparison
  • Inform your radiologist if you are pregnant or diabetic
  • Our team in Pallavaram offers complete pre-scan guidance

Who Should Consider a Renal Doppler Test in Pallavaram?

A Renal Doppler Test is not only a diagnostic tool — it’s a preventative measure for those at risk of kidney-related vascular issues. If you are experiencing uncontrolled hypertension, chronic kidney disease, or have a family history of renal artery stenosis, this test becomes critical. It's also recommended for individuals with diabetes, unexplained fluid retention, or those undergoing evaluation for kidney transplantation.

In Pallavaram, our diagnostic center frequently performs Renal Doppler evaluations for patients referred by nephrologists, cardiologists, and general physicians. Even if you don’t have obvious symptoms, high-risk individuals benefit greatly from early detection. The procedure is safe, radiation-free, and offers valuable insights into the kidney's blood circulation, which can significantly influence medical treatment decisions.

  • Ideal for patients with uncontrolled or resistant hypertension
  • Beneficial for diabetics and people with chronic kidney conditions
  • Recommended for kidney transplant recipients or donors
  • Useful for assessing renal artery stenosis or blood clots
  • Early detection helps prevent irreversible kidney damage
  • Walk-in and referral-based appointments available in Pallavaram

Book Your Renal Doppler Test in Pallavaram Today

If you're experiencing symptoms of kidney dysfunction or have been advised by your doctor to evaluate your renal blood flow, our Doppler scan service in Pallavaram is here to help. With our combination of advanced imaging technology, experienced professionals, and commitment to accurate diagnosis, we ensure you get the best in care and clarity.

Don’t delay essential kidney evaluation — book your Renal Doppler Test today at Insight Diagnostics and Labs Pallavaram, and take a proactive step towards better kidney health.

Frequently asked questions

The cost of a renal Doppler test can vary depending on the diagnostic center, the quality of equipment used, and the expertise of the radiologist. At some advanced centers, the price may also differ based on whether the scan is unilateral or bilateral. It’s a good idea to check directly with the center for details on packages or available discounts.

A renal Doppler test helps evaluate the blood flow in and around your kidneys using high-frequency ultrasound waves. It is especially useful in detecting renal artery stenosis, blood clots, kidney transplant complications, and hypertension-related kidney problems. The test provides vital information about how well your kidneys are being perfused with blood.

Preparation usually includes fasting for 6 to 8 hours before the scan to reduce bowel gas and improve image clarity. You may also be advised to drink water before the test to fill your bladder if instructed. Wear loose, comfortable clothing, and inform the radiologist if you're on any medications or have had previous kidney treatments.

In pregnancy, a renal Doppler test may be advised if the expectant mother experiences high blood pressure, suspected kidney disorders, or abnormal renal function. This non-invasive scan ensures the health of both mother and baby by checking blood flow to the kidneys and helps in timely diagnosis of pregnancy-induced hypertension or related complications.

Not at all. A renal Doppler test is completely safe, painless, and radiation-free. It’s a non-invasive ultrasound scan that simply uses sound waves to create images and assess blood flow. There's no recovery time needed, and you can resume normal activities immediately after the test.
Insights Diagnostics and Labs Contact Number Insights Diagnostics and Labs WhatsApp